Todos los tratamientos que necesitas en un solo lugar

CLÍNICA DENTAL SANTA LUCÍA | DOCTOR JOSÉ LUIS COMET

ODONTOLOGÍA GENERAL

Endodoncia

La endodoncia es la técnica que permite conservar las piezas dentales que tienen alguna dolencia en el nervio dental y su periferia, evitando recurrir a la extracción. Este tratamiento se realizará en una o dos sesiones, dependiendo del estado del tejido pulpar. Posteriormente, se procederá a la reconstrucción de la pieza dental.

 

ODONTOLOGÍA GENERAL

Periodoncia

Tratamiento de las enfermedades periodontales producidas por acumulación de cálculo y placa bacteriana en los tejidos que dan soporte a las piezas dentales. Mediante el tratamiento periodontal (higienización, raspados, alisado de raíz) se conservará una buena salud dental y se mantendrá una correcta estética.

ODONTOLOGÍA GENERAL

Implantología

Especialidad encaminada a la reposición de los piezas dentales ausentes mediante la colocación de tornillos, llamados implantes. Estos son fabricados en titanio y sustituyen a la raíz, de forma que van atornillados directamente en el hueso del maxilar, logrando una fijación que más tarde servirá para que el odontólogo pueda diseñar, probar y colocar una prótesis dental, confeccionada con materiales cerámicos o porcelana.

ODONTOLOGÍA GENERAL

Estomatología

Las mayoría de las urgencias odontológicas  están relacionadas con las complicaciones de caries dentales, dolencias periodontales y, en ocasiones, desórdenes temporomandibulares (DTM). Generalmente, el paciente acude a la consulta con síntomas de dolor, sangrado o inflamación, lo que hace que hayan de ser considerados como urgencias estomatológicas.

 

ODONTOLOGÍA GENERAL

Prótesis sobre implantes

Actualmente la variedad de prótesis dentales sobre implantes es muy variada. Trabajamos tanto con las de arcada completa, que van atornilladas o cementadas sobre seis u ocho implantes osteointegrados, tanto como con las híbridas, de estructura metálica adherida a los implantes, que soportan los dientes gracias a la ayuda de los implantes dentales.

ODONTOLOGÍA GENERAL

Prótesis dental

La prótesis dental es un aparato removible fabricado a medida del paciente, que se colocará para paliar la pérdida de uno o varios dientes.

ODONTOLOGÍA ESTÉTICA

Odontología

Comprende todos aquellos tratamientos que tratan de evitar la extracción de la pieza dental y la posterior colocación de un implante. Se tratarán piezas dentales enfermas o dañadas por el efecto de caries, traumatismos o desgaste.

ODONTOLOGÍA GENERAL

Cirugía de cordales

La cirugía de cordales, comúnmente conocida como cirugía de muelas del juicio, consiste en la extracción de las mismas en una intervención que requiere anestesia local. Debe ser realizada por un odontólogo o maxilofacial con experiencia en este tipo de cirugía.

¿Quieres saber más sobre nuestros servicios?

ODONTOLOGÍA ESTÉTICA

Blanqueamiento dental

Procedimiento clínico que trata de conseguir aclarar el color de los dientes mediante la aplicación de un gel químico, que no alterará su estructura. Actualmente, los blanqueamientos dentales consisten en la entrega al paciente de un kit con el gel blanqueador y una férula bucal hecha a su medida.

 

ODONTOLOGÍA ESTÉTICA

Ortodoncia

Tratamiento para corregir la posición inadecuada de los dientes mediante aparatos dentales, denominados “brackets”, adheridos temporalmente a los dientes. Estos ejercen acción sobre los dientes consiguiendo corregir su posición.

ODONTOLOGÍA ESTÉTICA

Carillas estéticas

Las carillas estéticas corrigen la cara externa visible del diente dañada estéticamente por diversos motivos. Los tratamientos pueden ser carilla de composite o de porcelana.

ODONTOLOGÍA ESTÉTICA

Invisaling

Con aligners transparentes hechos a medida que cuentan con el sistema Smart Track, brindando una comodidad óptima al paciente y una mayor rapidez del tratamiento.

RADIOGRAFÍAS

Radiografías | Ortopantomografías

Las radiografías simples y en mayor medida, las ortopantomografías conocida como radiografía panorámica, permite diagnósticos de forma fiable.

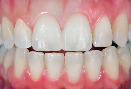
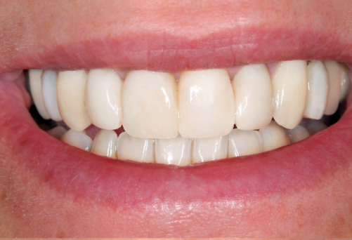
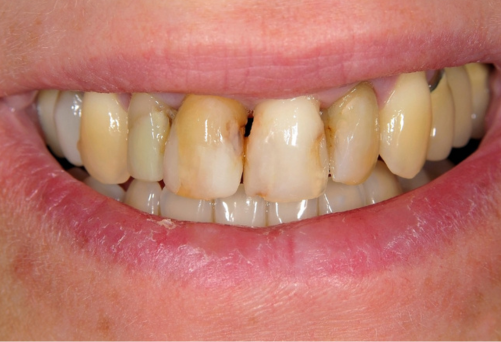
Resultados visibles

Antes Después
Antes Después
Antes Después